Khi tìm hiểu về bệnh lý dạ dày, nhiều người băn khoăn loạn sản dạ dày là gì và mức độ nguy hiểm ra sao. Về bản chất, đây là giai đoạn thay đổi bất thường của tế bào niêm mạc dạ dày, cảnh báo sớm ung thư. Do đó, việc nghiên cứu đầy đủ nguyên nhân, triệu chứng và phương án can thiệp loạn sản là vô cùng cần thiết.
Mục lục
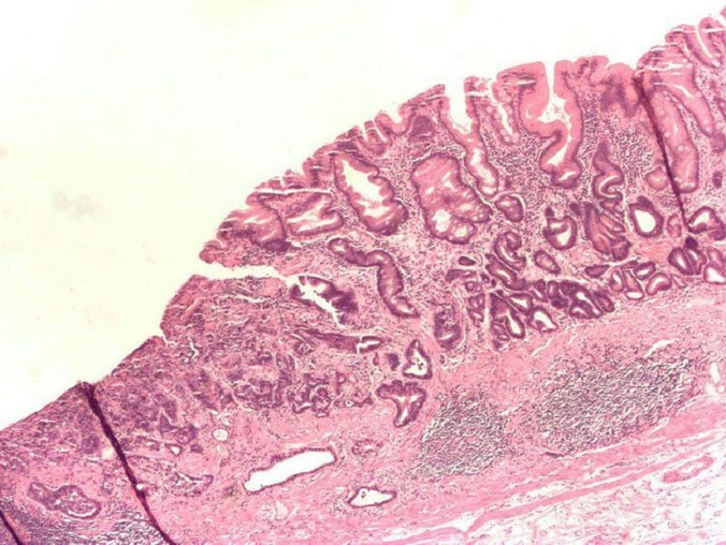
I. Loạn sản dạ dày là gì?
Loạn sản dạ dày (loạn sản ruột ở dạ dày) là tình trạng các tế bào trong lớp niêm mạc dạ dày thay đổi bất thường về hình dạng và cách sắp xếp. Tình trạng này chưa phải ung thư, nhưng được xem là tổn thương tiền ung thư vì nếu kéo dài và không được theo dõi, nó có thể tiến triển thành ung thư dạ dày.
Thông thường, loạn sản dạ dày được phát hiện thông qua nội soi và sinh thiết, khi bác sĩ lấy mẫu mô để quan sát dưới kính hiển vi. Dựa vào mức độ biến đổi của tế bào, loạn sản dạ dày được chia thành:
- Loạn sản nhẹ: Tế bào biến đổi ít, có thể ổn định hoặc hồi phục khi điều trị đúng cách.
- Loạn sản vừa: Mức độ bất thường rõ rệt hơn, cần theo dõi sát và điều trị tích cực.
- Loạn sản nặng: Tế bào thay đổi nhiều, nguy cơ cao tiến triển thành ung thư dạ dày nếu không xử trí kịp thời.
Việc hiểu rõ loạn sản dạ dày là gì và các mức độ của bệnh giúp người bệnh ý thức được tầm quan trọng của việc thăm khám và điều trị sớm.
II. Nguyên nhân gây loạn sản ruột ở dạ dày
Loạn sản ruột ở dạ dày hình thành do nhiều yếu tố tác động lâu dài lên niêm mạc dạ dày, khiến tế bào bị biến đổi bất thường. Một số nguyên nhân phổ biến gồm:
- Nhiễm vi khuẩn Helicobacter pylori (HP): Đây là nguyên nhân hàng đầu. HP gây viêm mạn tính, loét niêm mạc và làm tăng nguy cơ loạn sản nếu không được điều trị dứt điểm.
- Viêm dạ dày mạn tính: Tình trạng viêm kéo dài khiến niêm mạc liên tục bị tổn thương, dễ dẫn đến biến đổi tế bào.
- Chế độ ăn uống không lành mạnh: Ăn nhiều đồ chiên rán, hun khói, muối chua, uống rượu bia thường xuyên hoặc hút thuốc lá đều làm tăng nguy cơ tổn thương niêm mạc dạ dày.
- Yếu tố di truyền và gia đình: Người có người thân mắc ung thư dạ dày hoặc bệnh lý dạ dày mạn tính thường có nguy cơ cao hơn.
- Môi trường và thói quen sinh hoạt: Căng thẳng kéo dài, ít vận động, tiếp xúc hóa chất độc hại cũng góp phần thúc đẩy biến đổi tế bào.
- Tuổi tác: Bệnh thường gặp nhiều hơn ở người trung niên và cao tuổi, do quá trình lão hóa và tích lũy tổn thương niêm mạc theo thời gian.
III. Dấu hiệu loạn sản dạ dày thường gặp là gì?
Loạn sản dạ dày thường diễn tiến âm thầm, khó nhận biết trong giai đoạn đầu. Nhiều nghiên cứu cho thấy có tới hơn 60% trường hợp loạn sản mức độ nhẹ không có triệu chứng đặc hiệu, khiến bệnh dễ bị bỏ qua cho đến khi tình trạng tiến triển nặng. Tuy nhiên, một số biểu hiện điển hình, người bệnh nên đặc biệt lưu ý:
- Đau âm ỉ hoặc tức vùng thượng vị: Cảm giác khó chịu, nóng rát hoặc căng tức bụng trên có thể xuất hiện sau bữa ăn, dễ nhầm lẫn với viêm loét dạ dày thông thường.
- Rối loạn tiêu hóa kéo dài: Bao gồm đầy hơi, chướng bụng, khó tiêu, buồn nôn hoặc nôn. Những triệu chứng này thường không đặc hiệu nhưng nếu lặp đi lặp lại, cần cảnh giác.
- Sụt cân, chán ăn: Loạn sản có thể làm giảm chức năng tiêu hóa và hấp thu, khiến người bệnh ăn kém, giảm cân nhanh mà không rõ nguyên nhân.
- Thiếu máu, mệt mỏi: Sự thay đổi niêm mạc dạ dày kéo dài có thể ảnh hưởng đến khả năng hấp thu dưỡng chất, gây thiếu sắt hoặc vitamin B12.
- Có máu trong phân hoặc nôn ra máu: Đây là dấu hiệu muộn và thường liên quan đến loạn sản mức độ nặng hoặc biến chứng ác tính, cần đi khám ngay.
Điểm quan trọng là các triệu chứng này rất dễ nhầm với các bệnh lý dạ dày phổ biến khác, dẫn đến việc chủ quan bỏ qua. Do đó, người có các biểu hiện kể trên, đặc biệt khi đã điều trị viêm loét dạ dày nhưng không thuyên giảm, nên chủ động nội soi để được chẩn đoán chính xác. Việc phát hiện sớm loạn sản dạ dày giúp mở ra cơ hội kiểm soát và điều trị hiệu quả, giảm nguy cơ tiến triển sang ung thư.
IV. Mối liên quan của loạn sản dạ dày và ung thư là gì?
Loạn sản dạ dày có thể gây ra nhiều triệu chứng giống các bệnh tiêu hóa thông thường. Chính vì vậy, nhiều người thường chủ quan, không nghĩ rằng những biểu hiện này có nguy cơ tiến triển thành ung thư dạ dày.
Về mặt y học, loạn sản được coi là tổn thương tiền ung thư. Điều này có nghĩa là:
- Loạn sản nhẹ: Tế bào bất thường ở mức thấp, đôi khi có thể ổn định hoặc hồi phục khi điều trị đúng cách.
- Loạn sản vừa và nặng: Mức độ biến đổi tế bào cao, làm tăng rõ rệt nguy cơ hình thành ung thư dạ dày trong những năm tiếp theo.
Theo nhiều nghiên cứu, những người bị loạn sản ruột ở dạ dày nặng có khả năng tiến triển thành ung thư dạ dày cao gấp nhiều lần so với người không mắc bệnh. Tuy nhiên, nếu phát hiện và điều trị kịp thời, nguy cơ này có thể được kiểm soát hiệu quả.
V. Phương pháp điều trị loạn sản dạ dày là gì?
Điều trị loạn sản dạ dày phụ thuộc vào mức độ tổn thương tế bào, tình trạng sức khỏe tổng quát và nguy cơ tiến triển thành ung thư. Mục tiêu chính là ngăn ngừa biến chứng ác tính, đồng thời cải thiện chất lượng cuộc sống cho người bệnh.
1. Điều trị nội khoa và theo dõi
- Diệt vi khuẩn Helicobacter pylori (HP): Nếu người bệnh có nhiễm HP, bác sĩ sẽ kê phác đồ kháng sinh kết hợp thuốc ức chế acid. Nhiều nghiên cứu cho thấy, việc loại bỏ HP có thể làm giảm đáng kể nguy cơ tiến triển thành ung thư.
- Điều trị bệnh lý nền: Viêm loét dạ dày mạn tính, trào ngược hoặc viêm teo dạ dày cần được kiểm soát để hạn chế tác động xấu lên niêm mạc.
- Theo dõi định kỳ: Trường hợp loạn sản nhẹ thường được khuyến nghị nội soi kiểm tra 6-12 tháng/lần để đánh giá.
2. Can thiệp qua nội soi
Can thiệp loạn sản dạ dày qua nội soi thường có những ưu điểm như ít xâm lân, thời gian phục hồi bệnh nhanh, giúp giảm tỷ lệ tiến triển bệnh thành ung thư. Một số phương pháp điển hình cần kể đến:
- Cắt niêm mạc qua nội soi (EMR): Áp dụng khi loạn sản khu trú, chưa lan rộng. Bác sĩ sẽ dùng dụng cụ nội soi để bóc tách và lấy đi phần niêm mạc bất thường.
- Tách dưới niêm mạc qua nội soi (ESD): Phương pháp tiên tiến hơn, cho phép loại bỏ tổn thương lớn hoặc khó tiếp cận, đồng thời giữ nguyên cấu trúc dạ dày.
3. Phẫu thuật
Với loạn sản nặng, đặc biệt khi nghi ngờ tiến triển thành ung thư giai đoạn sớm, bác sĩ có thể chỉ định cắt bỏ một phần hoặc toàn bộ dạ dày. Đây là phương án triệt để nhưng cũng mang theo nhiều rủi ro. Do đó, người bệnh sẽ được bác sĩ thăm khám kỹ lưỡng trước khi quyết định tiến hành phẫu thuật.
Nhìn chung, loạn sản ruột ở dạ dày có thể kiểm soát hiệu quả nếu được phát hiện sớm và điều trị đúng cách. Người bệnh không nên chủ quan hoặc tự ý điều trị tại nhà mà cần tuân thủ theo chỉ định của bác sĩ chuyên khoa.
VI. Cách phòng ngừa loạn sản dạ dày hiệu quả là gì?
Loạn sản dạ dày thường xuất phát từ sự kết hợp nhiều yếu tố như nhiễm vi khuẩn HP, viêm dạ dày mạn tính, chế độ ăn uống không lành mạnh và tuổi tác. Vì vậy, việc phòng ngừa không chỉ giúp giảm nguy cơ loạn sản mà còn góp phần bảo vệ dạ dày nói chung. Dưới đây là những biện pháp được các chuyên gia khuyến nghị:
- Điều trị triệt để vi khuẩn HP: Tuân thủ đúng phác đồ của bác sĩ giúp loại bỏ HP – nguyên nhân hàng đầu gây loạn sản. Không tự ý ngưng thuốc hoặc đổi thuốc để tránh tình trạng kháng thuốc, khiến việc điều trị về sau phức tạp hơn.
- Ăn uống khoa học: Tăng cường rau xanh, trái cây tươi giàu vitamin C, E và chất chống oxy hóa để bảo vệ niêm mạc. Đồng thời, hạn chế đồ chiên rán, muối chua, hun khói và thực phẩm chế biến sẵn vì chứa nhiều chất gây hại cho tế bào dạ dày.
- Bỏ rượu bia, thuốc lá và giảm thức uống gây hại: Nicotin và cồn làm tổn thương niêm mạc, trong khi cà phê đặc hay nước ngọt có gas dễ kích thích tăng acid dịch vị. Hạn chế tối đa các thói quen này giúp giảm áp lực cho dạ dày.
- Giữ lối sống lành mạnh: Tập thể dục đều đặn, ngủ đủ giấc và học cách quản lý căng thẳng giúp giảm tình trạng tăng tiết acid, ổn định hoạt động tiêu hóa, qua đó bảo vệ dạ dày trước nguy cơ biến đổi tế bào.
- Thăm khám và nội soi định kỳ: Nội soi kết hợp sinh thiết giúp phát hiện sớm loạn sản, đặc biệt quan trọng với người từng viêm loét dạ dày, nhiễm HP kéo dài hoặc có tiền sử gia đình mắc ung thư dạ dày.
Có thể thấy, phòng ngừa loạn sản dạ dày là sự kết hợp giữa chăm sóc dạ dày đúng cách, loại bỏ tác nhân nguy hại và tầm soát sớm. Nếu bạn chủ động thay đổi từ hôm nay, nguy cơ loạn sản và cả ung thư dạ dày sẽ được giảm đi đáng kể.
VII. Một số câu hỏi thường gặp
1. Bệnh loạn sản dạ dày có nguy hiểm không?
Loạn sản dạ dày được xếp vào nhóm tổn thương tiền ung thư, tức là chưa phải ung thư nhưng có nguy cơ tiến triển thành ung thư nếu không được phát hiện và kiểm soát kịp thời. Mức độ nguy hiểm phụ thuộc vào cấp độ loạn sản (nhẹ, vừa, nặng) cũng như việc tuân thủ theo dõi, điều trị của người bệnh.
2. Loạn sản dạ dày có chữa khỏi hoàn toàn được không?
Không chắc. Khả năng điều trị dứt điểm phụ thuộc vào giai đoạn phát hiện. Với loạn sản mức độ nhẹ, việc thay đổi lối sống, điều trị vi khuẩn HP (nếu có) và theo dõi định kỳ có thể giúp tổn thương thuyên giảm hoặc ổn định. Tuy nhiên, với loạn sản nặng, nguy cơ tiến triển cao nên thường cần can thiệp y khoa tích cực, thậm chí phẫu thuật cắt bỏ tổn thương để ngăn ngừa ung thư.
3. Loạn sản dạ dày thường gặp ở độ tuổi nào?
Loạn sản dạ dày có thể gặp ở nhiều độ tuổi nhưng phổ biến hơn ở người trung niên và cao tuổi, đặc biệt là trên 40. Những người có tiền sử viêm loét dạ dày mạn tính, nhiễm HP kéo dài hoặc có lối sống không lành mạnh (hút thuốc, uống rượu, ăn nhiều đồ cay nóng) có nguy cơ cao hơn.
4. Loạn sản dạ dày có phải do vi khuẩn HP gây ra không?
Vi khuẩn Helicobacter pylori (HP) là một trong những nguyên nhân hàng đầu gây viêm loét và biến đổi niêm mạc dạ dày, trong đó có loạn sản. Tuy nhiên, không phải mọi trường hợp loạn sản dạ dày đều do HP, mà còn có thể liên quan đến yếu tố di truyền, chế độ ăn uống, thói quen sinh hoạt và bệnh lý tiêu hóa mạn tính.
5. Thời gian theo dõi và tái khám với người bị loạn sản dạ dày là bao lâu?
Tần suất theo dõi phụ thuộc vào mức độ loạn sản và hướng dẫn của bác sĩ. Thông thường:
- Với loạn sản nhẹ, bác sĩ thường khuyến nghị nội soi kiểm tra lại sau 6 – 12 tháng.
- Với loạn sản nặng hoặc có nguy cơ cao, việc tái khám có thể được rút ngắn xuống 3 – 6 tháng/lần để kịp thời phát hiện diễn tiến bất thường và có biện pháp xử trí phù hợp.
Qua bài viết, có thể thấy loạn sản dạ dày là gì không chỉ là một bệnh lý đơn thuần mà còn gắn liền với nguy cơ ung thư dạ dày. Do đó, người bệnh cần nâng cao ý thức phòng ngừa, duy trì lối sống lành mạnh và thăm khám thường xuyên để được chẩn đoán sớm. Điều này sẽ giúp cải thiện tiên lượng và nâng cao chất lượng cuộc sống.
Dược sĩ Nguyễn Thị Thu – Tốt nghiệp chuyên ngành Quản lý và cung ứng thuốc – Cao đẳng dược TW Hải Dương với 6 năm kinh nghiệm trong lĩnh vực trình dược, đã thực tập, công tác tại nhiều nhà thuốc khác nhau.


















